BEFORE & AFTER
행복의 변화, 리셋치과 전후 효과를 확인하세요
새로운 치아, 새로운 미소. 직접 확인해보세요!
scroll down
부산·경남 미니쉬
멤버스 클리닉 지정병원
before & after case
치료 전·후 실제 후기
편안하게 진료를 받으실 수 있는 이상적인 공간,
쾌적하고 넓은 리셋치과에서 치과에 대한
두려움을 덜어드리겠습니다.
  • 전체
  • 전체 임플란트
  • 뼈이식 임플란트
  • 미니쉬
  • 라미네이트
로그인 후 모든 치료후기를 살펴보세요.
전체 임플란트
환자 성함 : 박**
치료기간 : 2024.06 - 2025.03 (9개월)
로그인 후 모든 치료후기를 살펴보세요.
전체 임플란트
환자 성함 : 박**
치료기간 : 2024.01 - 2024.04 (3개월)
로그인 후 모든 치료후기를 살펴보세요.
뼈이식 임플란트
환자 성함 : 최**
치료기간 : 2022.11 - 2023.07 (8개월)
로그인 후 모든 치료후기를 살펴보세요.
상악동 거상술
환자 성함 : 최**
치료기간 : 2024.12 - 2025.03 (3개월)
로그인 후 모든 치료후기를 살펴보세요.
미니쉬
환자 성함 : 강**
치료기간 : 2025.01 - 2025.02 (1개월)
로그인 후 모든 치료후기를 살펴보세요.
미니쉬
환자 성함 : 김**
치료기간 : 2025.02 - 2025.03 (1개월)
로그인 후 모든 치료후기를 살펴보세요.
미니쉬
환자 성함 : 최**
치료기간 : 2024.01 - 2024.03 (2개월)
로그인 후 모든 치료후기를 살펴보세요.
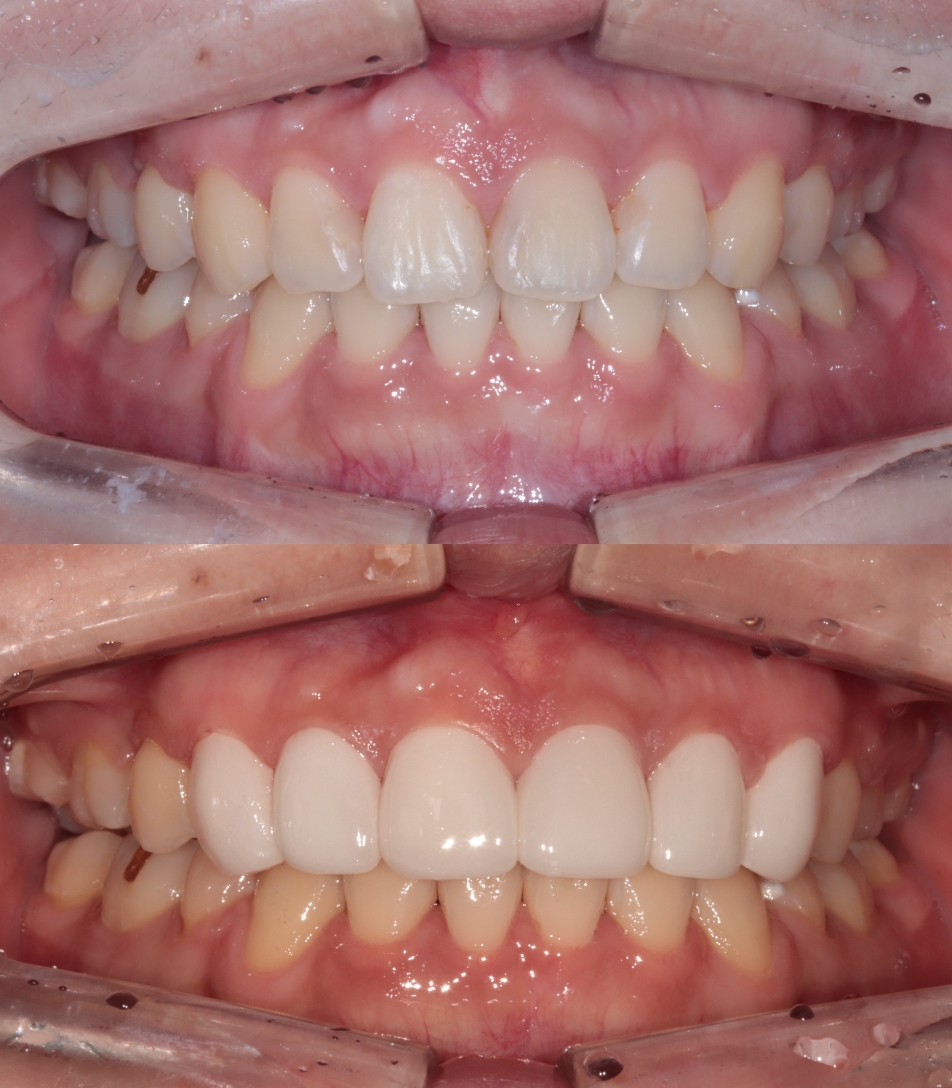
최소삭제 라미네이트
환자 성함 : 문**
치료기간 : 2025.02 - 2025.03 (1개월)
로그인 후 모든 치료후기를 살펴보세요.
전체 임플란트
환자 성함 : 박**
치료기간 : 2024.06 - 2025.03 (9개월)
로그인 후 모든 치료후기를 살펴보세요.
전체 임플란트
환자 성함 : 박**
치료기간 : 2024.01 - 2024.04 (3개월)
로그인 후 모든 치료후기를 살펴보세요.
뼈이식 임플란트
환자 성함 : 최**
치료기간 : 2022.11 - 2023.07 (8개월)
로그인 후 모든 치료후기를 살펴보세요.
상악동 거상술
환자 성함 : 최**
치료기간 : 2024.12 - 2025.03 (3개월)
로그인 후 모든 치료후기를 살펴보세요.
미니쉬
환자 성함 : 강**
치료기간 : 2025.01 - 2025.02 (1개월)
로그인 후 모든 치료후기를 살펴보세요.
미니쉬
환자 성함 : 김**
치료기간 : 2025.02 - 2025.03 (1개월)
로그인 후 모든 치료후기를 살펴보세요.
미니쉬
환자 성함 : 최**
치료기간 : 2024.01 - 2024.03 (2개월)
로그인 후 모든 치료후기를 살펴보세요.
최소삭제 라미네이트
환자 성함 : 문**
치료기간 : 2025.02 - 2025.03 (1개월)

Location

부산진구 가야대로 753 12층,13층

서면 롯데호텔 맞은편 DR 메디컬 건물

건물 내 타워주차장에 주차 가능합니다.

(대형 차량 주차는 원내 문의주세요)

  • 월·수·금

    10:00 -19:00

    화·목

    10:00 - 21:00

  • 토요일

    10:00 - 16:00

    점심시간

    13:00 - 14:00

*일요일 및 공휴일 휴진  *토요일 점심시간 없이 진료합니다.

건물 내 타워주차장에 주차 가능합니다.

(대형 차량 주차는 원내 문의주세요)

  • 월·수·금

    10:00 -19:00

  • 화·목

    10:00 - 21:00

  • 토요일

    10:00 - 16:00

  • 점심시간

    13:00 - 14:00

*일요일 및 공휴일 휴진
*토요일 점심시간 없이 진료합니다.